Projects
Social Listening Pipeline
Automatically infers the general consensus of the people.
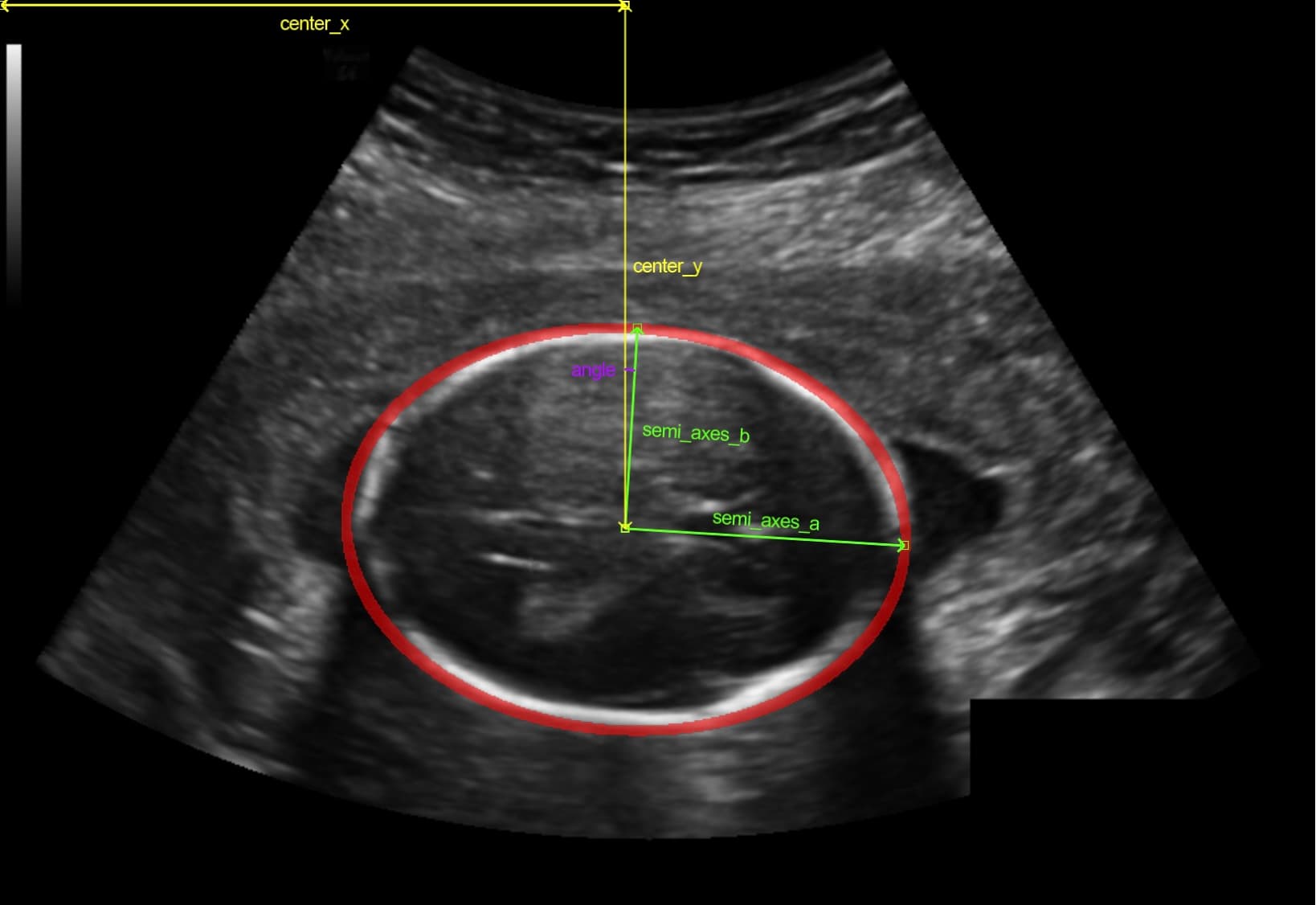
Best in World Model for Medical Imaging
Best ML model performance out of 2,212 entries.